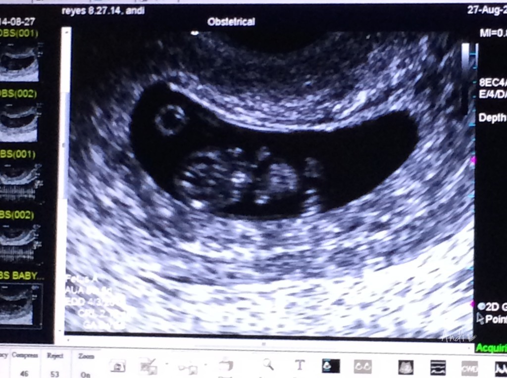
Today, I heard the most beautiful thing I’ve ever heard in my life. I never imagined how magical it would be hearing that tiny little sound from inside me. Bum bum bum bum… I didn’t think this day would come that i actually could call myself a mom. Everything seemed easy to give up all of a sudden. I dreamt of this day… and it was better than what i imagined it to be.. I have a baby. Im going to be a mom. These words I’ve been waiting to say… these words I’ve been waiting to share to the world. I am overwhelmed, ecstatic, and cant wait to see you my little one. For now, hang in there.. Know that i already love and cant wait to love you even more.
Love, Mom.

Written August 12, 2014 <3



Aww!! Congrats, Andi.
Hi andi! Congratulations! I’ve always loved reading ur blog and cant wait to read more about ur little one. :)
Congratulations Andi!!!! :)
Congrats andi!! so happy for you… I really admire you …^^
Another blessing! Congratulaions, Ms. Andi :)
Congratulations, Andi and GP!!! I can’t wait to see your little one. I’m sure he/she would be as cute as you. God bless, andi!
Thanks love!
(●´ω`●) Congrats, pretty Andi! Hearing my baby’s heartbeat is priceless! I’m on my 19 weeks now.
Congrats Miss Andi and Sir GP!!!!The baby will definitely be gorgeous and blessed! :)
Congratulations!!! Same here 7 months preggy mom and can’t wait to our second bundle of joy :) Stay safe and Enjoy baby bump.
Congratulations Andi and GP! <3 <3
Congratulations Andi! :)
Congrats to you both! Perfect couple:-)
Thank you :)
hi andi! congratulations to you and GP! Godspeed! <3 <3 <3
How far along were you on this ultrasound?:)